aligners
- HOME
- /
- ALIGNERS
Clear Confidence, Clear Aligners
Clear Aligners Made for Growing Smiles
Parents, if you’re considering aligners for your child, here are 4 quick benefits:
Almost invisible kids feel confident at school.
Removable for easy meals and brushing time.
Comfortable and effective with expert guidance.
Shorter visits and fewer emergency check-ins.
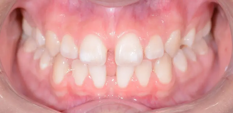
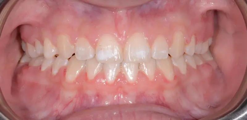
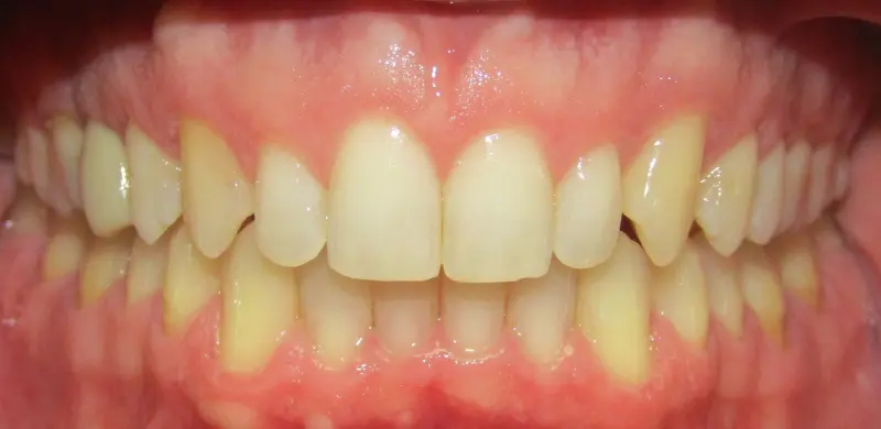
See Our Amazing Results
Before & After


Book a free consultation—we’ll guide your smile journey!
Family-owned orthodontic care in Miami. Bilingual team, modern treatments & smiles that grow with confidence—one patient at a time.
Copyright ©2026 H&MO All Rights Reserved