BRACES
- HOME
- /
- BRACES
Common Orthodontic Problems We Fix
Every smile is unique, and so are the challenges behind it. At Hodson & Meister Orthodontics, we treat more just than crooked teeth we help correct bite issues, jaw growth problems, and even habits like thumb sucking that affect oral health. Early detection makes all the difference.
We commonly treat:
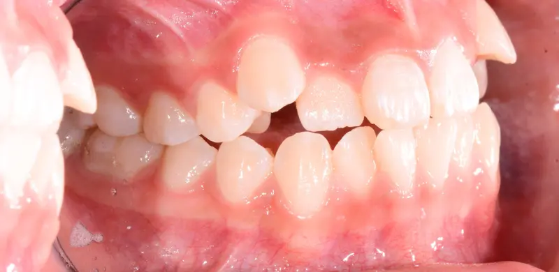
- Crowding
- Spacing
- Bad bite (underbite, overbite, crossbite)
- Jaw growth problems
- Habits like thumb sucking or tongue thrusting
Early Orthodontics, Lifelong Smiles
Early Orthodontic Treatment - check by 7
What problems can early treatment fix?
Crowding, bite issues, speech development, or jaw growth concerns can be addressed early often avoiding complex treatments later.
What’s the cost of early orthodontics?
We offer flexible payment plans and accept most insurances. Your first consultation is free — no pressure, just expert advice.
When is early treatment not needed?
Not all children need Phase I treatment. This phase usually begins around age 7 and is only recommended when there are specific issues that require early correction — like jaw growth problems, severe crowding, or crossbites. If your child’s smile is developing normally, we won’t rush into treatment. Instead, we’ll monitor their growth with regular checkups and begin orthodontic treatment (full braces or aligners) once all permanent teeth are in.
Phase I
Early Guidance for Growing Smiles
Phase 1 focuses on guiding jaw growth and creating space early, helping prevent more complex problems as permanent teeth develop.
Phase II
Final Alignment for a Healthy, Confident Smile
Phase 2 begins once permanent teeth are in, using braces or aligners to perfect alignment, bite, and overall smile function.
Ready for your best smile yet? Book your FREE consultation today
Which Braces Are Right for You?
Learn more about the different types of braces we offer.
01
Metal Braces
Our most popular option for teens and kids. Durable, efficient, and customizable with colorful bands.
02
Ceramic Braces
Tooth-colored brackets blend in with your smile—great for those wanting a low-profile option.
03
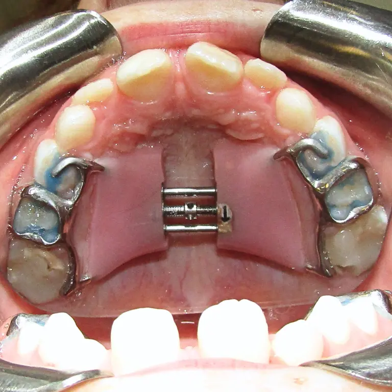
Expander
A custom appliance that gently widens the upper jaw, creating space and correcting bite issues early.
04
Clear Aligners
Removable, comfortable, and nearly invisible. Ideal for adults and teens who want subtle orthodontic treatment.
Support for Every Stage of Life
Braces & Beyond: Smile Care for Teens, Adults, and More
Orthodontics isn’t just about straight teeth it’s about confidence, comfort, and long-term wellness. Discover how we tailor treatment for every age and need.
Teens Braces
Braces help teens achieve healthy smiles. We offer metal or ceramic options based on their needs. Not all teens need them, so we begin with a full evaluation.
Adult Braces
Braces aren’t just for teens. Adults can choose aligners, metal, or ceramic braces. We’ll guide you to the best option after an evaluation.
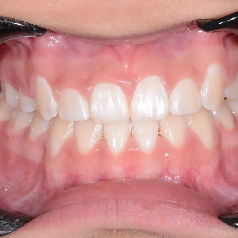
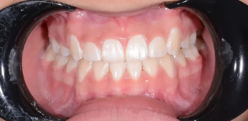
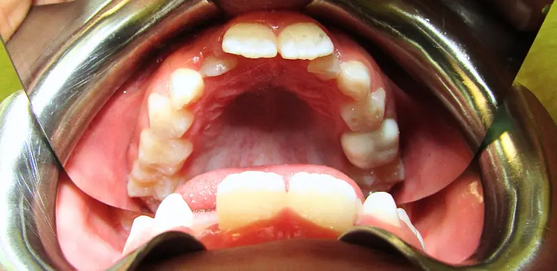
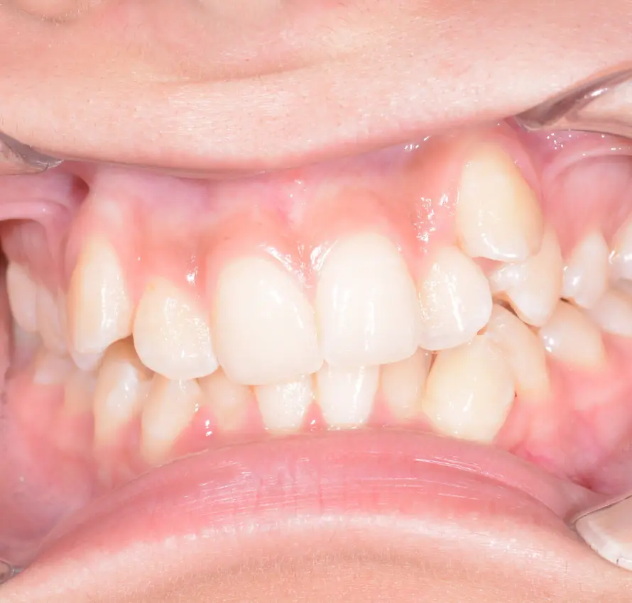
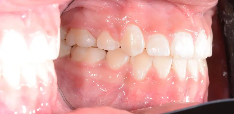
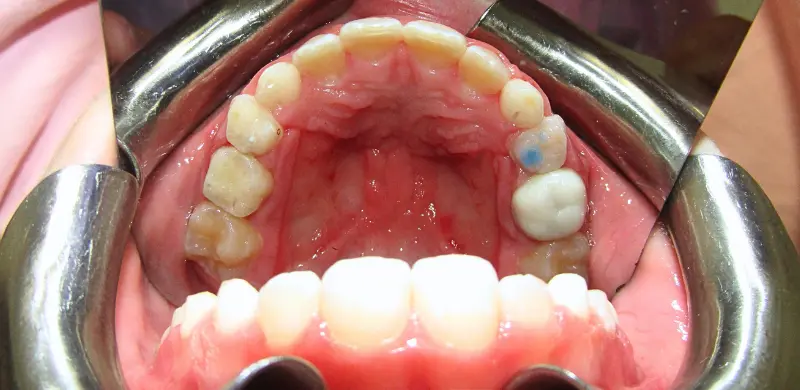
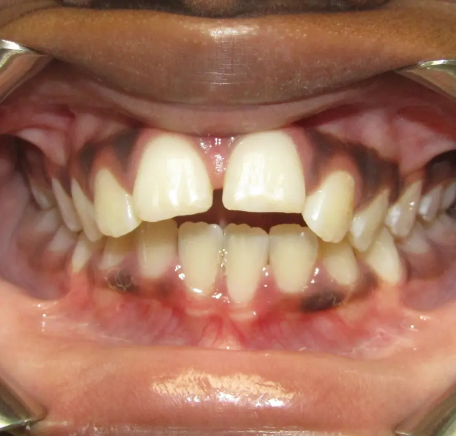
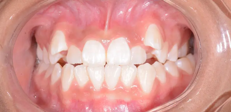
See Our Amazing Results
Before & After


Book a free consultation—we’ll guide your smile journey!
Family-owned orthodontic care in Miami. Bilingual team, modern treatments & smiles that grow with confidence—one patient at a time.
Copyright ©2026 H&MO All Rights Reserved